Reabilitare estetică și funcțională completă – maxilar și mandibulă

Tratamentul potrivit pentru pacient. Zâmbetul care i se potrivește perfect.

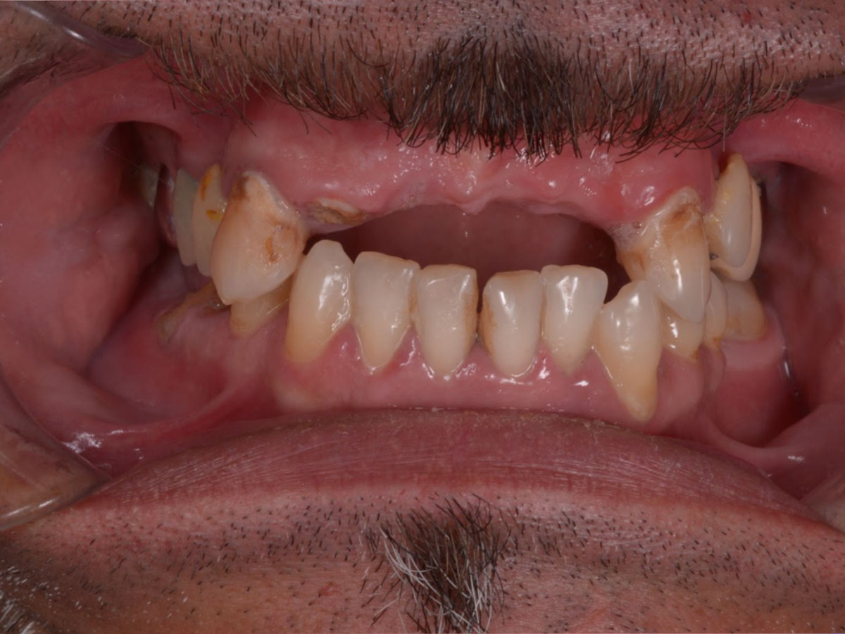
Un plan de tratament personalizat, care a combinat soluții fixe pe implanturi și tratamente protetice pe dinți naturali, pentru un rezultat stabil, estetic și funcțional.

Maxilar:

  • Reabilitare completă prin sistemul All-on-6
  • Încărcare imediată cu lucrare provizorie fixă, oferind funcționalitate și estetică din prima zi

 

Mandibulă:

  • Inserare de implanturi dentare
  • Aplicare de coroane pe implanturi
  • Reabilitare suplimentară cu coroane pe bonturi naturale

Rezultatul: Restaurare completă a funcției masticatorii. estetică naturală, integrată armonios, stabilitate și confort pe termen lung.

Un zâmbet reconstruit printr-o abordare mixtă, adaptată specificului clinic și nevoilor pacientului.

Gânduri după tratament

Nu mă împăcam cu gândul să nu mai am un zâmbet stabil, dar Jadent mi-a arătat că se poate. În urma tratamentului, sunt alt om. Mănânc normal, vorbesc clar, râd cu toți dinții. Ce-mi puteam dori mai mult?!

Sună acum WhatsApp Locația noastră